北原歯科クリニック

岡山県岡山市北区大元の歯医者
JR瀬戸大橋線大元駅から徒歩約10分

オンライン初診診療予約
診療時間
診療時間
診療時間の表

:土曜日の診療時間は9:30~17:00※木曜・日曜・祝日は休診日

【受付時間】
午前9:3011:45 午後14:0017:45
(初診時は午前~11:30、午後~17:30)
土曜 9:3016:30
診療時間の表

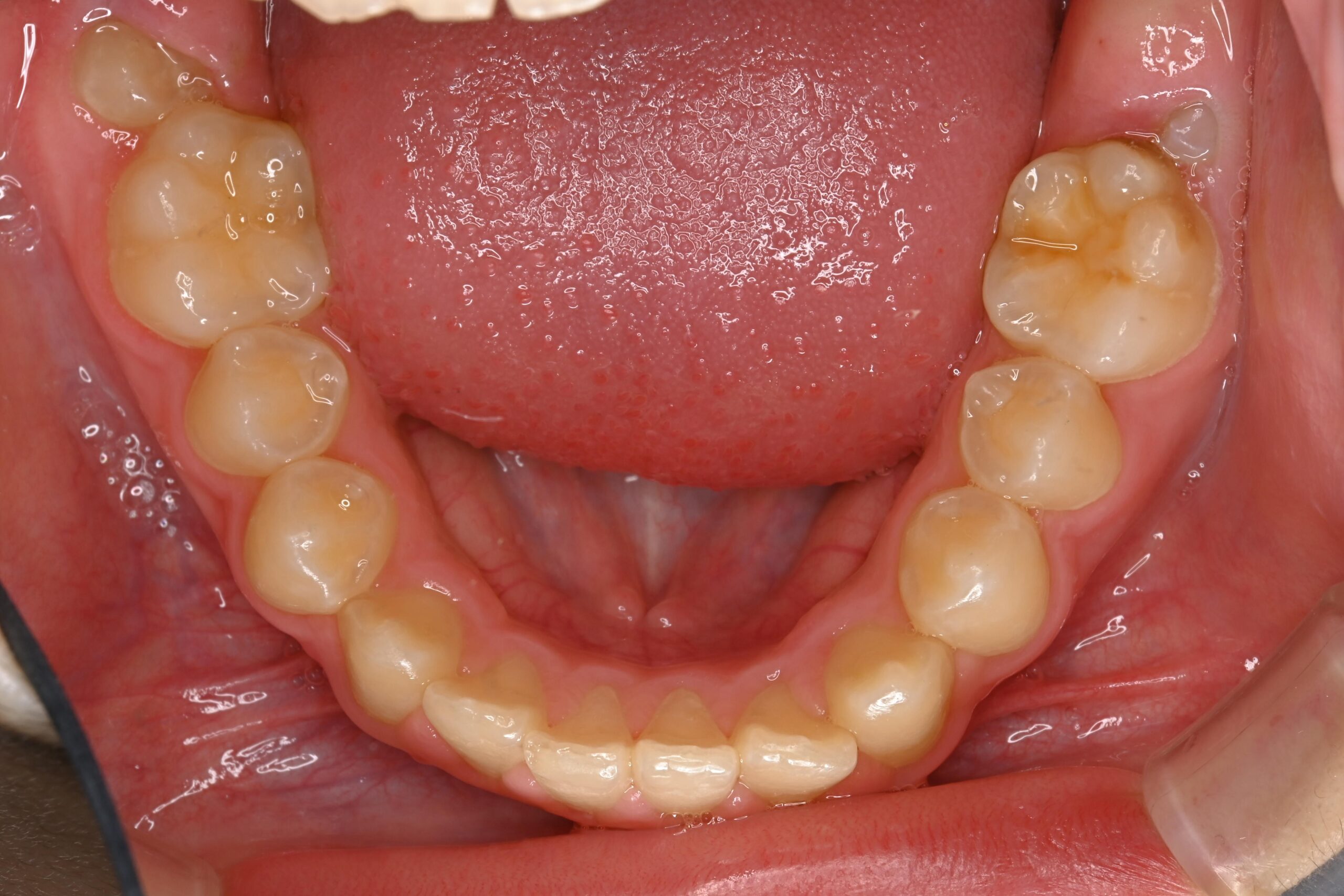
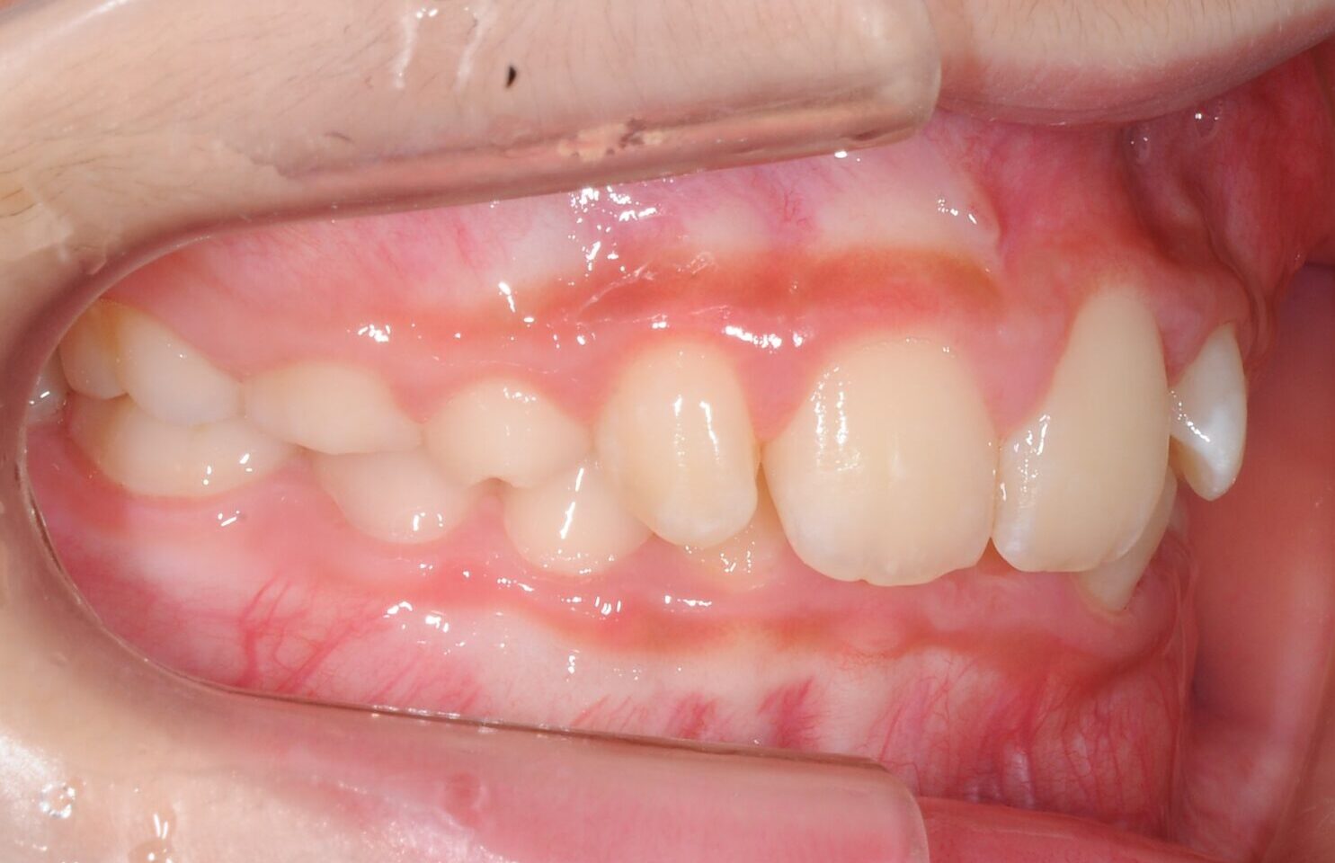
症例詳細

case

症例詳細
矯正
10代・男性

子どもの歯並びが悪い|叢生

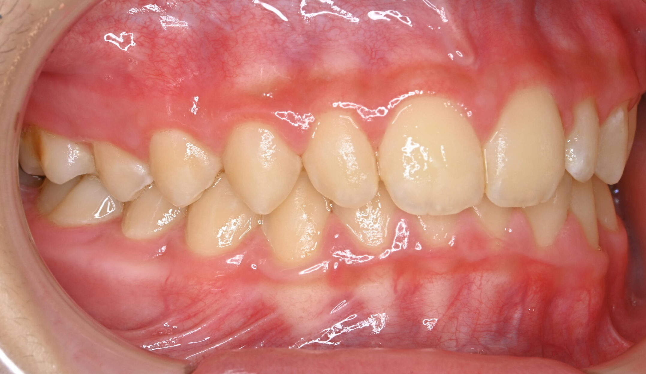
before

治療前

症例写真 before
症例写真 before
症例写真 before
症例写真 before
症例写真 before
症例写真 before

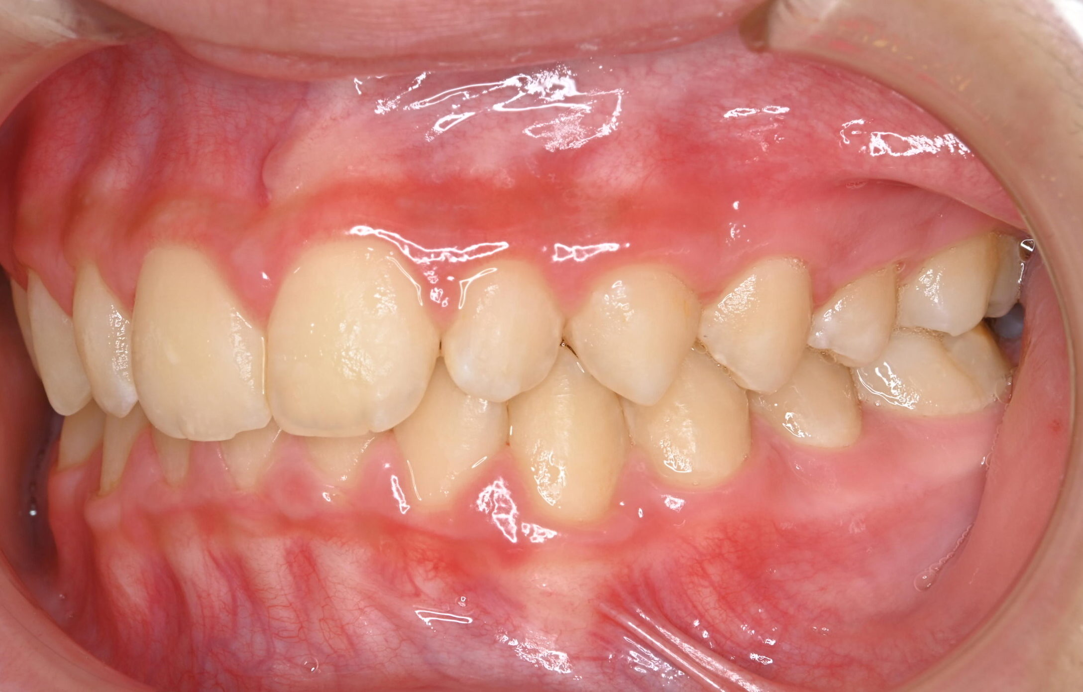
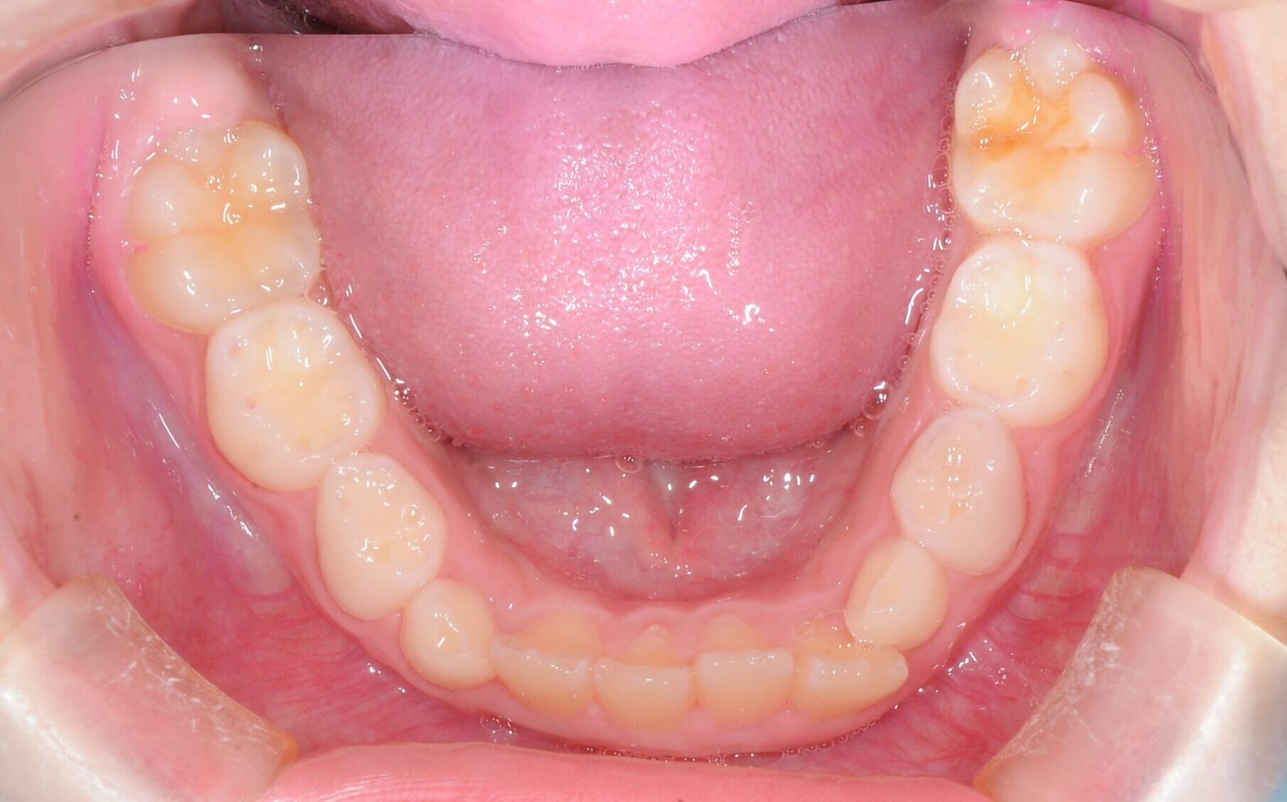
after

治療後

症例写真 after
症例写真 after
症例写真 after
症例写真 after
症例写真 after
症例写真 after
治療開始年齢
10歳5ヶ月
診断名
叢生
抜歯の有無
非抜歯
使用した装置
上顎…ナンスのホールディングアーチ 下顎…リンガルアーチ
治療期間
1年3ヶ月
費用
約200,000円(管理料は含まず)
症例説明
検査の結果、この患者さんは骨格には問題がない軽度の叢生と診断しました。
乳歯と永久歯が混在するこの時期は軽度の叢生であれば、抜ける乳臼歯とその後に生えてくる永久歯の大きさの違いを利用して永久歯を抜歯せずに歯並びを整えることができます。
今回は患者さんと保護者の方の希望で1期治療(乳歯と永久歯が混在する時期まで)のみの治療となりました。
ただし、前歯の噛み合わせがまだかなり深い(下の前歯が見えない)ので、これが気になり、改善するには2期治療(永久歯列期の矯正治療)が必要になります。

payment

医療費控除について

年間で支払った医療費の総額が10万円を超える場合、医療費控除を受けられます。

医療費控除の算定方法
医療費控除額 =
(1年間の医療費の総額)-(保険金などの受給額)-(10万円*)
*総所得金額等が200万円未満の場合、総所得金額等の5%の金額
還付金の算定方法
還付金額 =(医療費控除額)×(所得税率)
医療費控除に必要なもの
・確定申告書(○) ※1
・源泉徴収票
・医療費控除の明細書(○) ※1
・診断書 ※2
・医療費通知書
・本人確認書類
・印鑑
・申告者本人の銀行口座 ※3
・契約書の写し・信販会社の領収書 ※4
※1 提出する書類です。その他は提出必須ではありませんが、税務署から求められた際や、
書類作成時に必要になります。
※2 インビザラインなど必要な場合のみ
※3 還付金の入金口座です。
※4 クレジットカードやデンタルローンでお支払いした際に必要です。