北原歯科クリニック

岡山県岡山市北区大元の歯医者
JR瀬戸大橋線大元駅から徒歩約10分

オンライン初診診療予約
診療時間
診療時間
診療時間の表

:土曜日の診療時間は9:30~17:00※木曜・日曜・祝日は休診日

【受付時間】
午前9:3011:45 午後14:0017:45
(初診時は午前~11:30、午後~17:30)
土曜 9:3016:30
診療時間の表

症例詳細

case

症例詳細
予防歯科・ メンテナンス
30代・女性

歯の着色を取ってほしい|ステイン付着

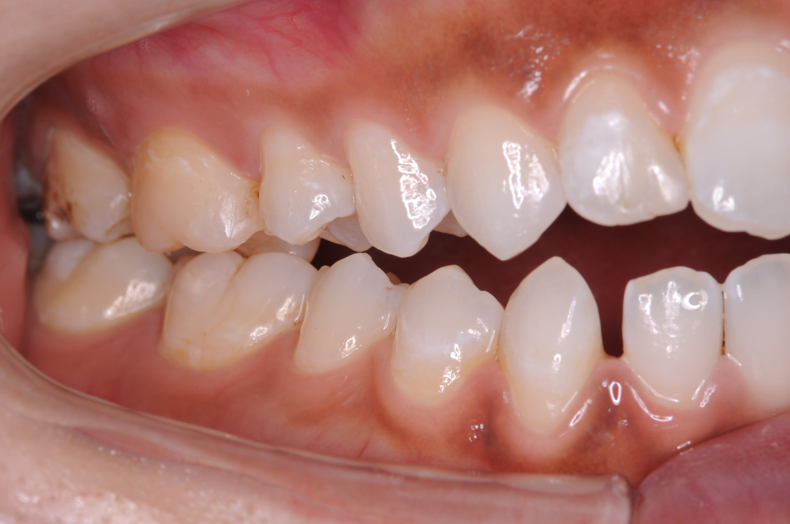
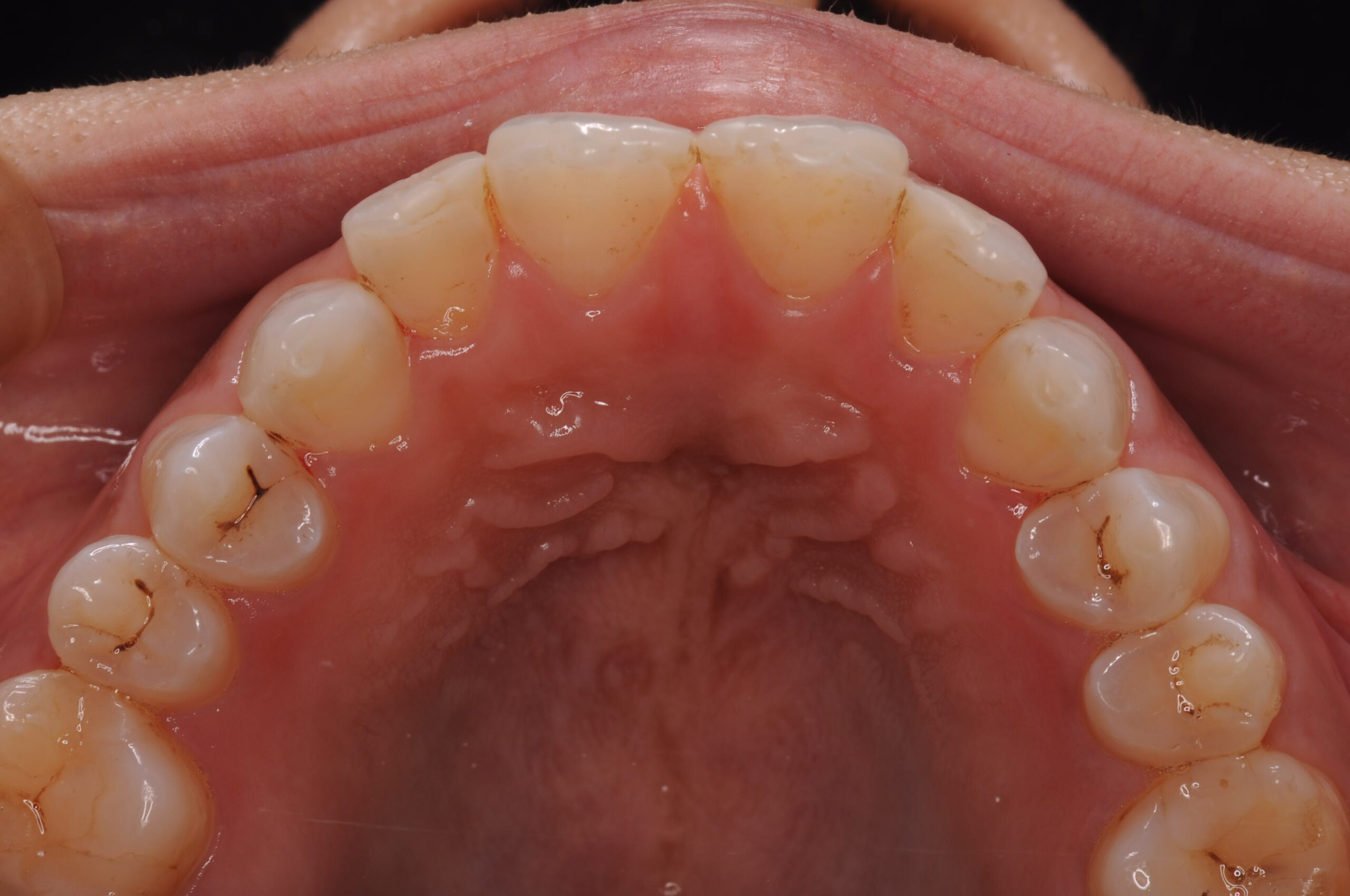
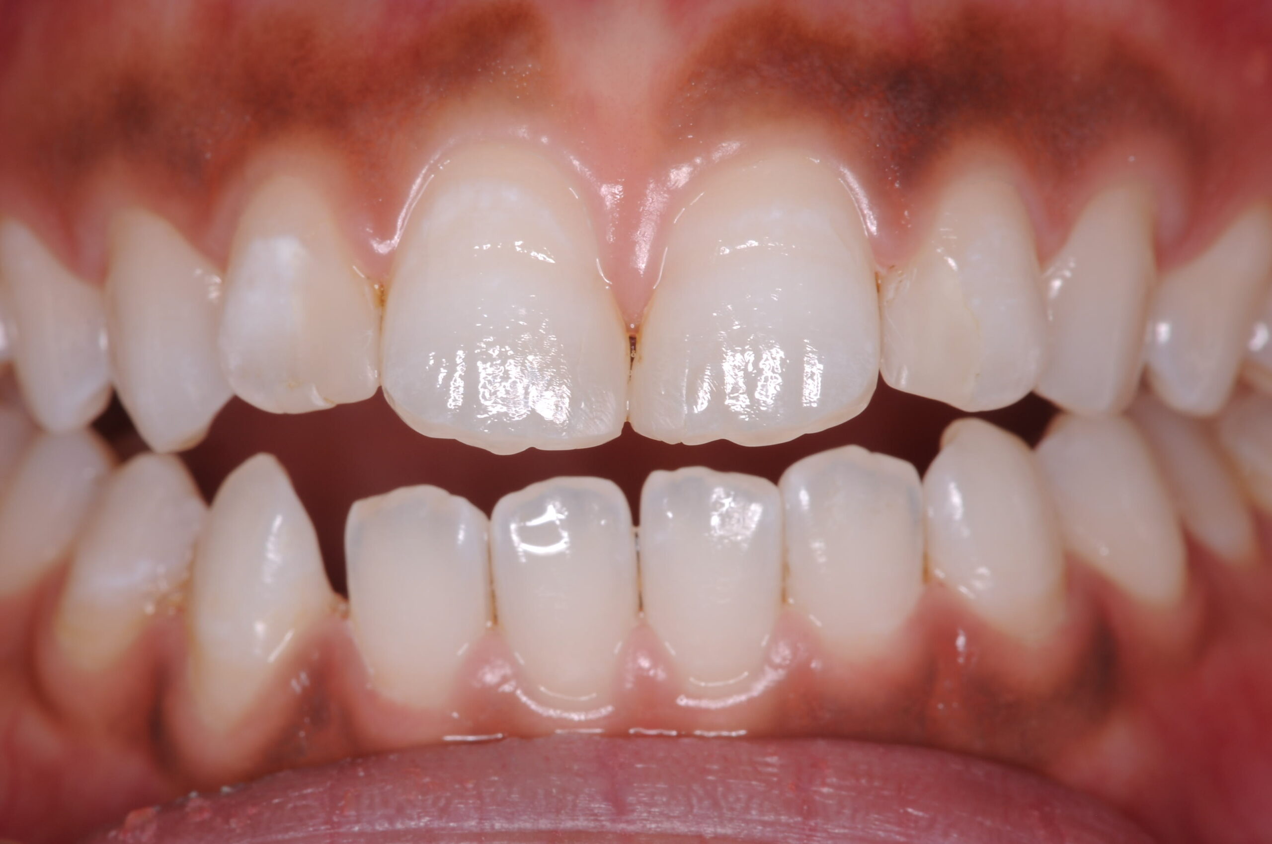
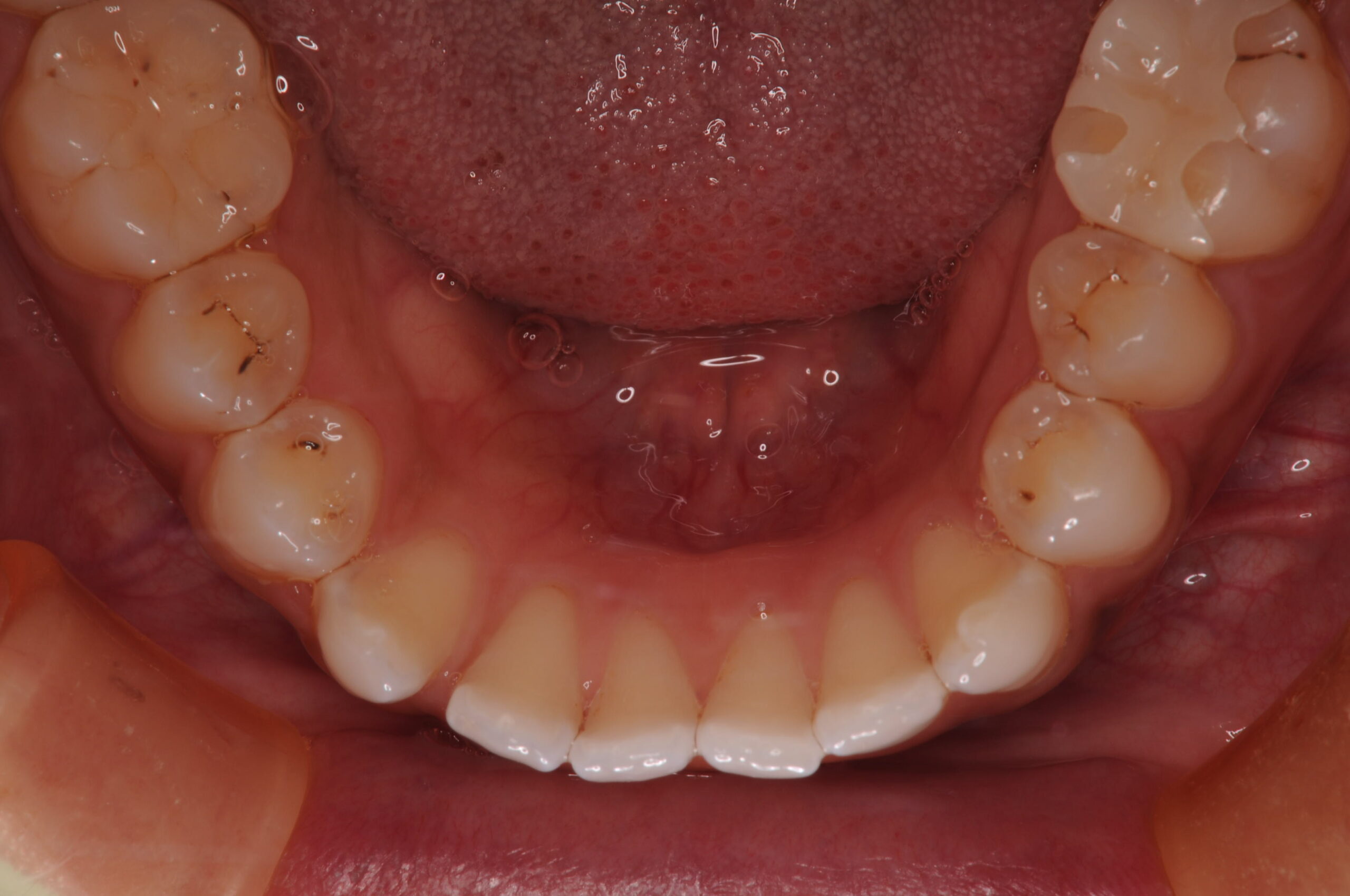
before

治療前

症例写真 before
症例写真 before
症例写真 before
症例写真 before
症例写真 before
症例写真 before

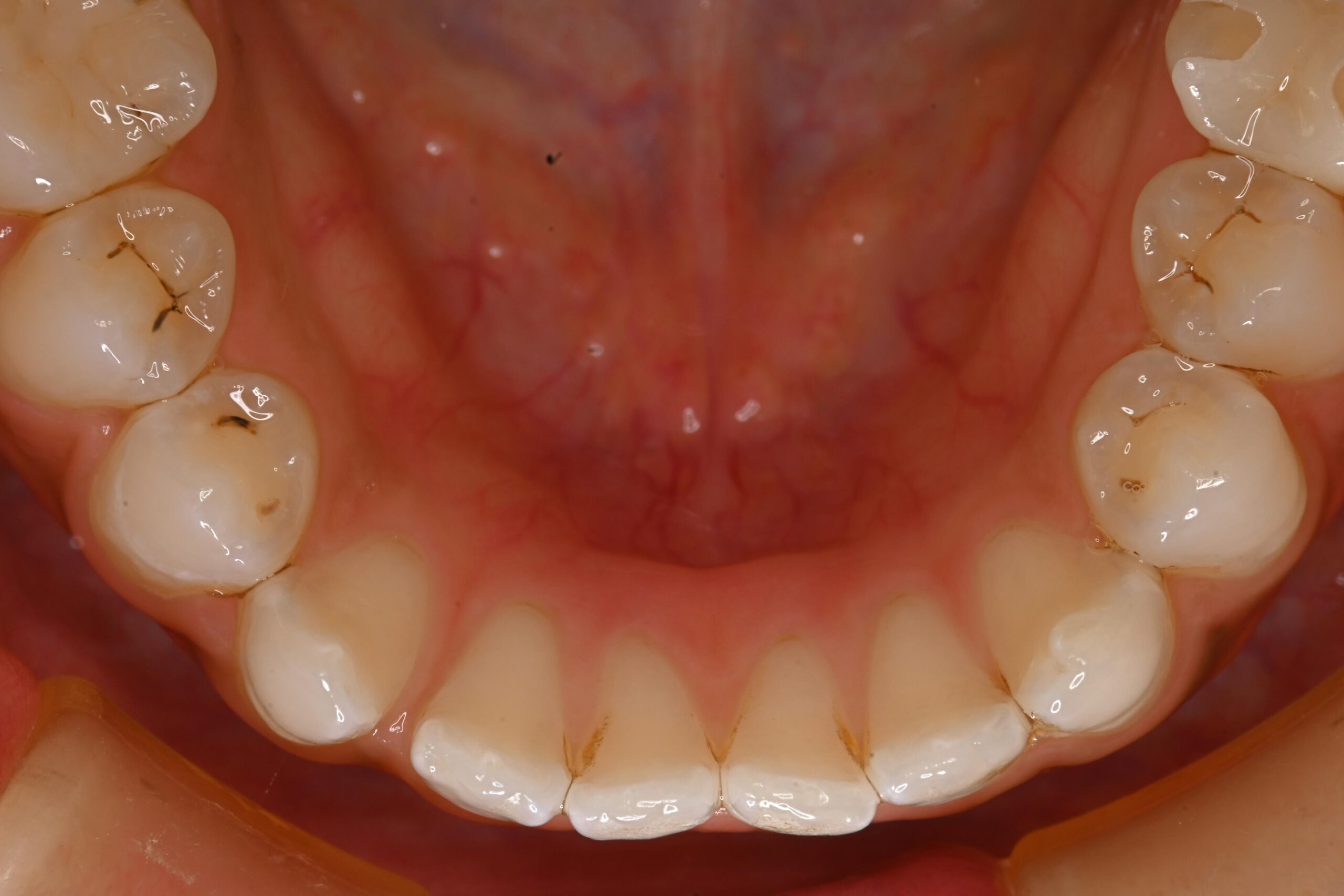
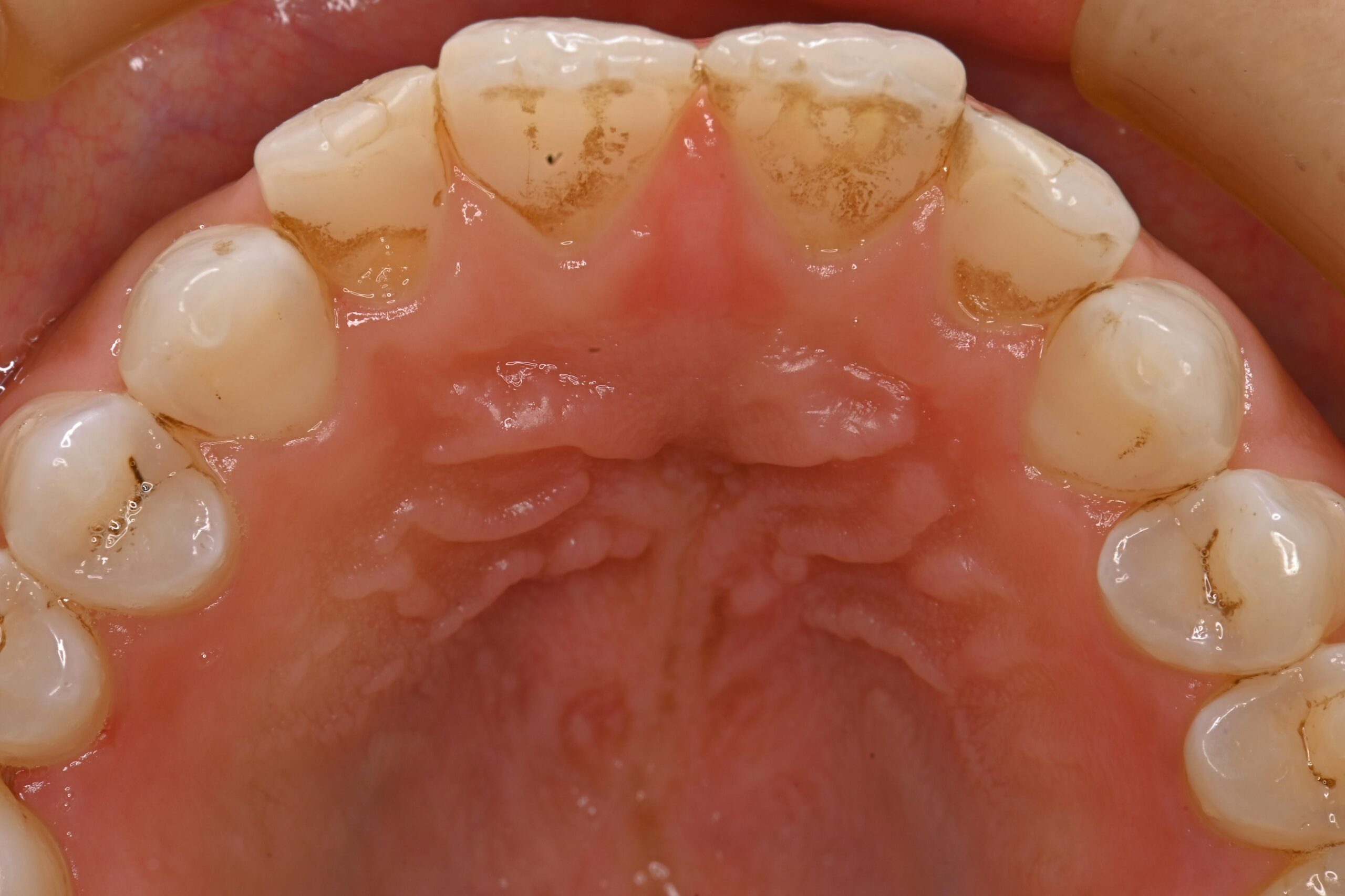
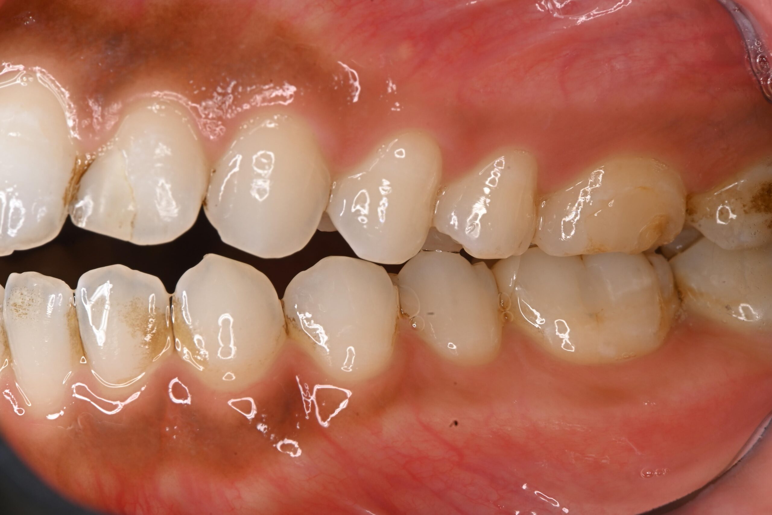
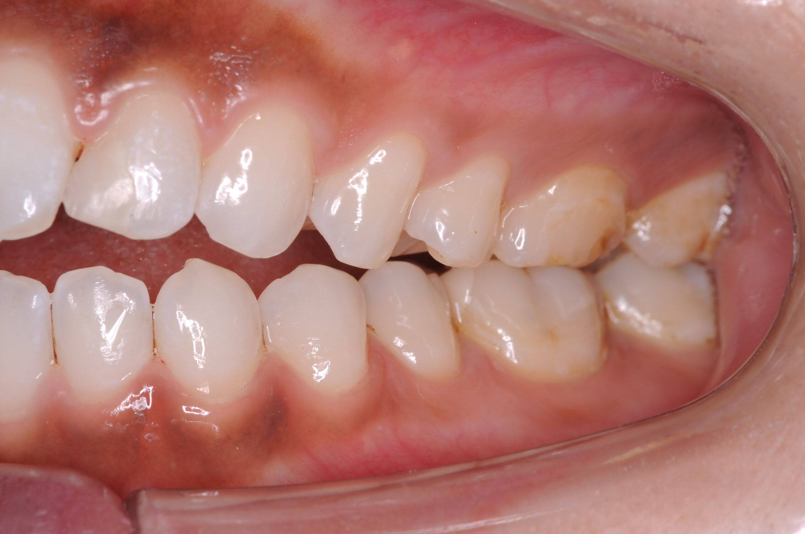
after

治療後

症例写真 after
症例写真 after
症例写真 after
症例写真 after
症例写真 after
症例写真 after
治療開始年齢
30歳
診断名
抜歯の有無
使用した装置
エアフロー
治療期間
1回
費用
1,650円
症例説明
歯の表面に付いている着色を取ってほしいという主訴でした。
飲食物や嗜好品の中にはステインが付着しやすいものがあります。付着する箇所によっては見た目における審美的な影響、もしくは舌触りが悪くなる、プラークの付着が増えるという機能的な影響が出ることがあります。
ステインの除去自体はエアフローを用いて簡単に行うことができますが、それに先立ち歯石の除去を行います。
エアフローとは専用の粉を水とともに吹き付けステインを除去する装置のことです。研磨とは違い、歯の表面に負担をかけることなく使用することができます。
ステインの付着量によって多少費用が前後しますので、気になる方は衛生士へご相談ください。
※着色の程度によって回数がかかることがあります。
 1回あたり1650円~5500円(15分~30分)になります。

payment

医療費控除について

年間で支払った医療費の総額が10万円を超える場合、医療費控除を受けられます。

医療費控除の算定方法
医療費控除額 =
(1年間の医療費の総額)-(保険金などの受給額)-(10万円*)
*総所得金額等が200万円未満の場合、総所得金額等の5%の金額
還付金の算定方法
還付金額 =(医療費控除額)×(所得税率)
医療費控除に必要なもの
・確定申告書(○) ※1
・源泉徴収票
・医療費控除の明細書(○) ※1
・診断書 ※2
・医療費通知書
・本人確認書類
・印鑑
・申告者本人の銀行口座 ※3
・契約書の写し・信販会社の領収書 ※4
※1 提出する書類です。その他は提出必須ではありませんが、税務署から求められた際や、
書類作成時に必要になります。
※2 インビザラインなど必要な場合のみ
※3 還付金の入金口座です。
※4 クレジットカードやデンタルローンでお支払いした際に必要です。