北原歯科クリニック

岡山県岡山市北区大元の歯医者
JR瀬戸大橋線大元駅から徒歩約10分

オンライン初診診療予約
診療時間
診療時間
診療時間の表

:土曜日の診療時間は9:30~17:00※木曜・日曜・祝日は休診日

【受付時間】
午前9:3011:45 午後14:0017:45
(初診時は午前~11:30、午後~17:30)
土曜 9:3016:30
診療時間の表

症例詳細

case

症例詳細
インプラント
50代・男性

奥歯が欠けた|下顎左右6番の抜歯に伴うインプラント治療

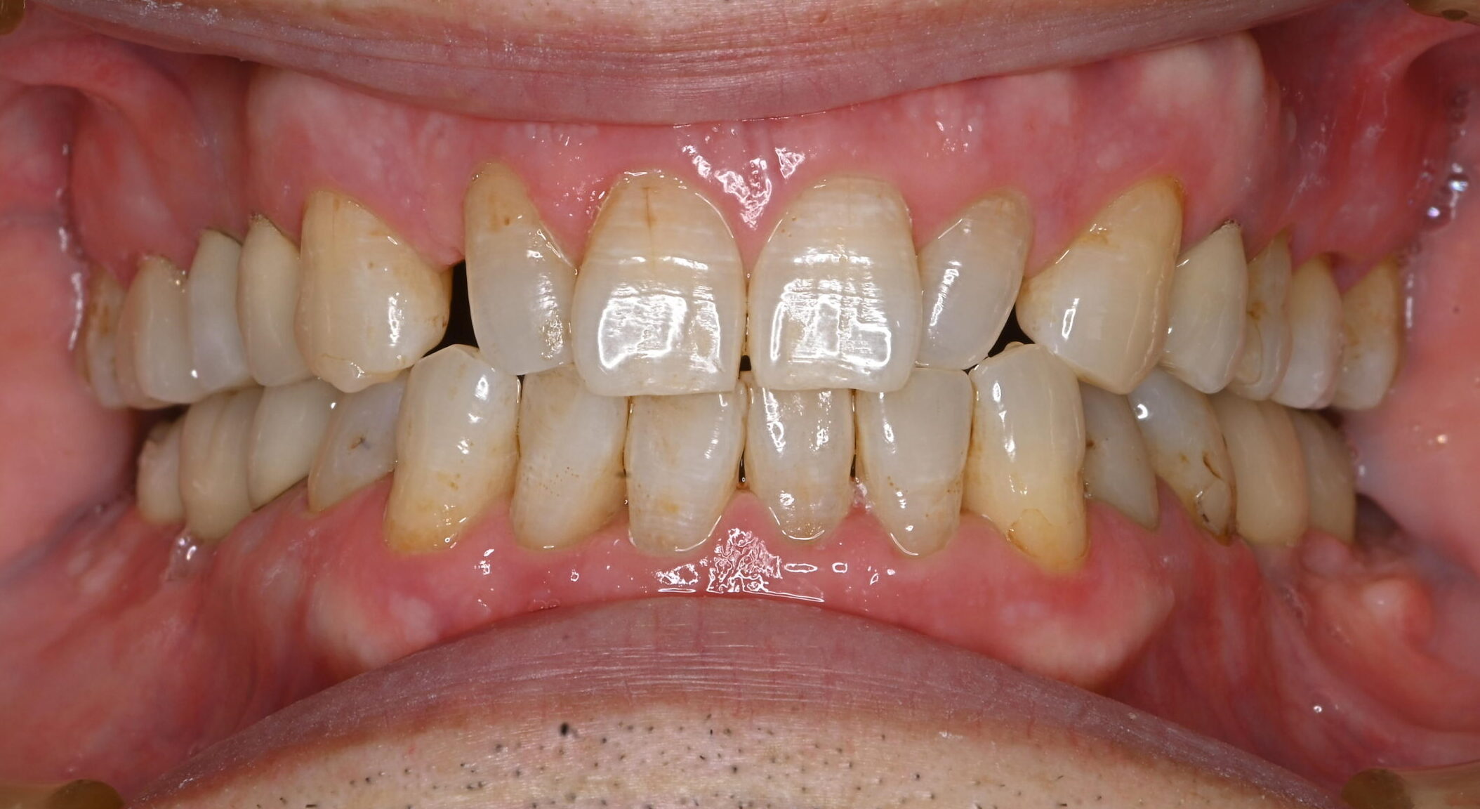
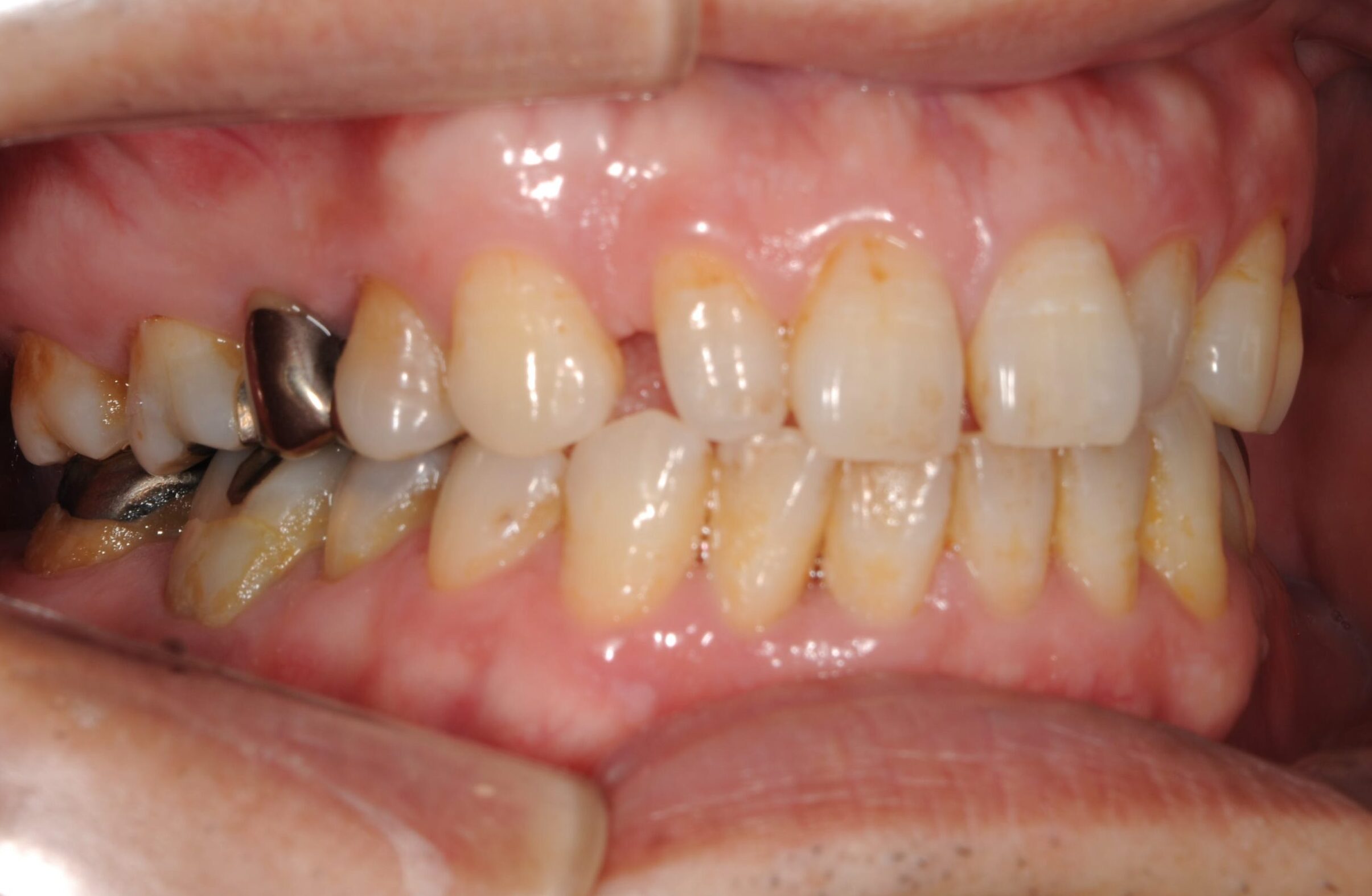
before

治療前

症例写真 before
症例写真 before
症例写真 before
症例写真 before
症例写真 before
症例写真 before
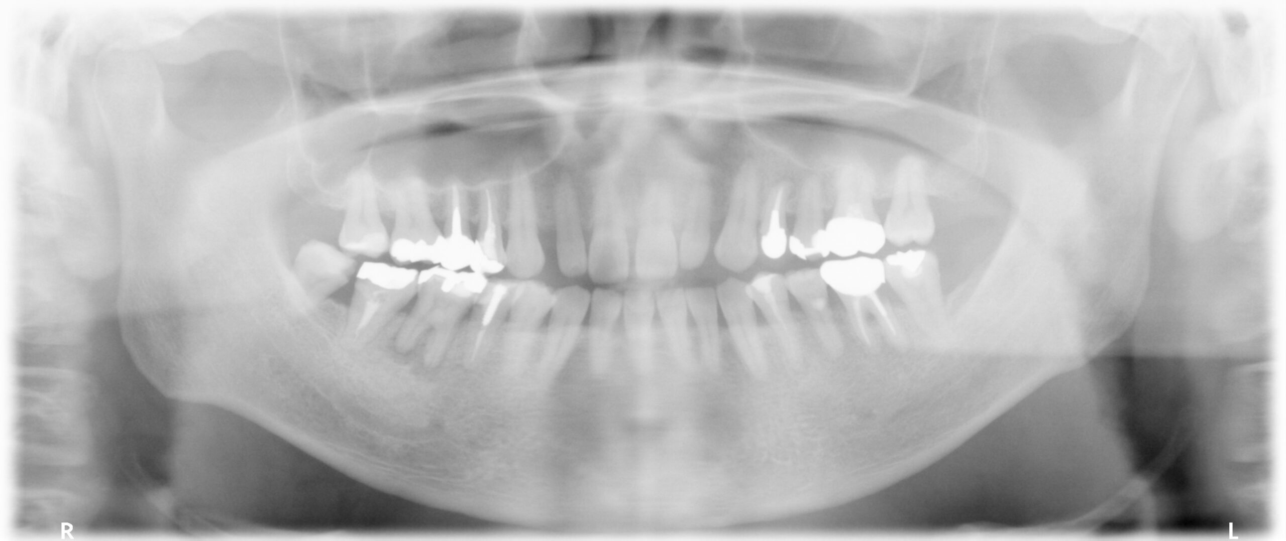
症例写真 レントゲン

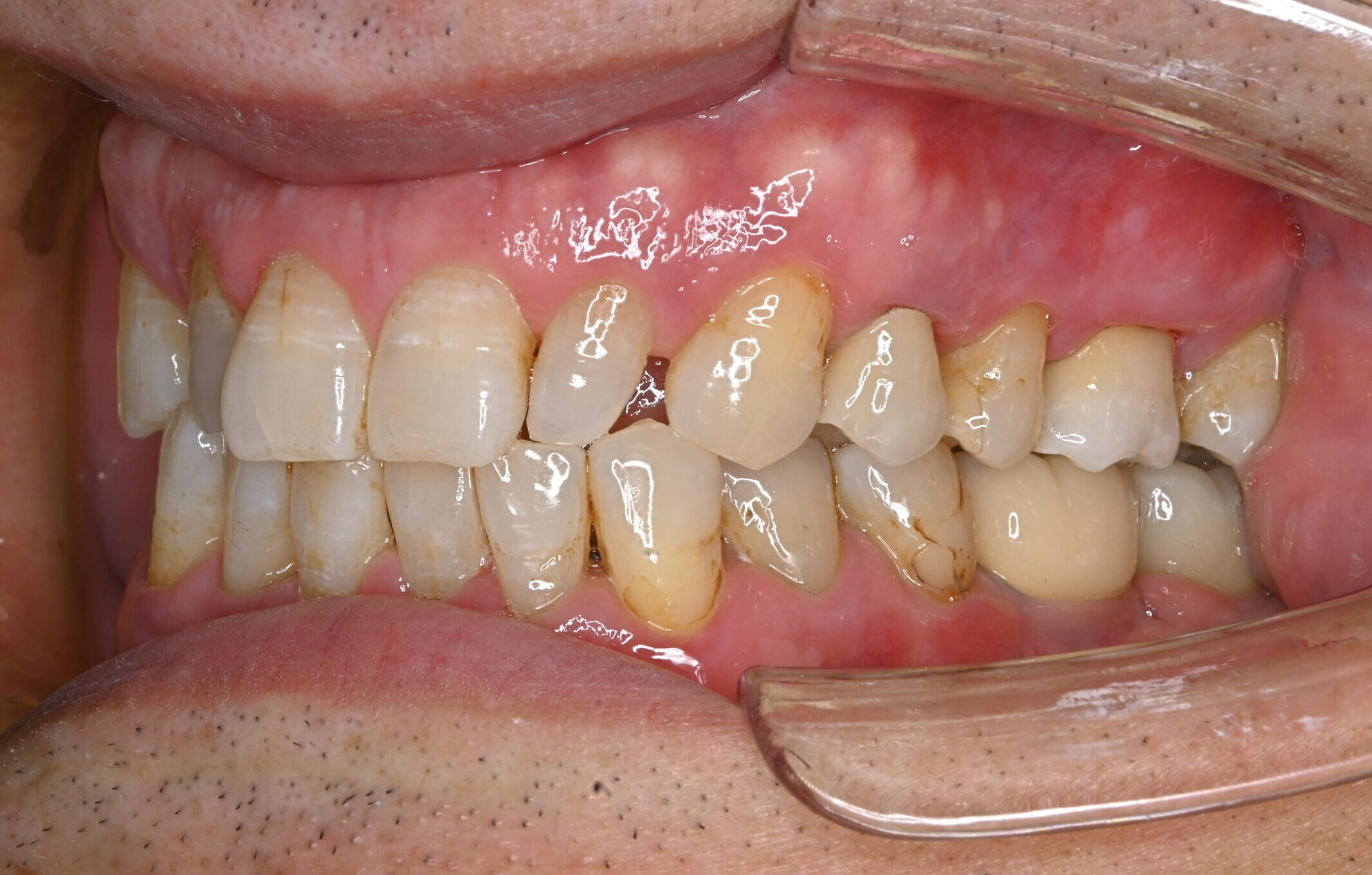
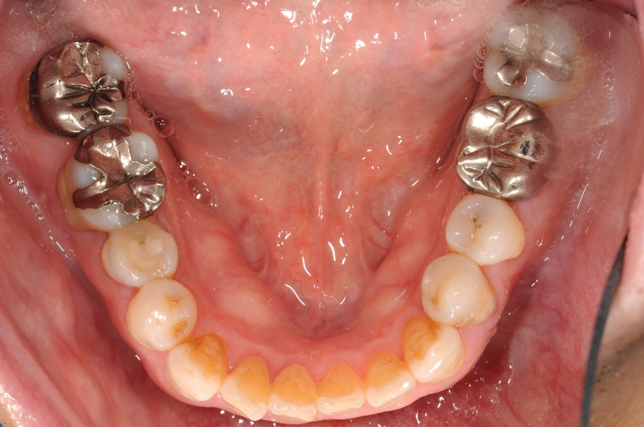
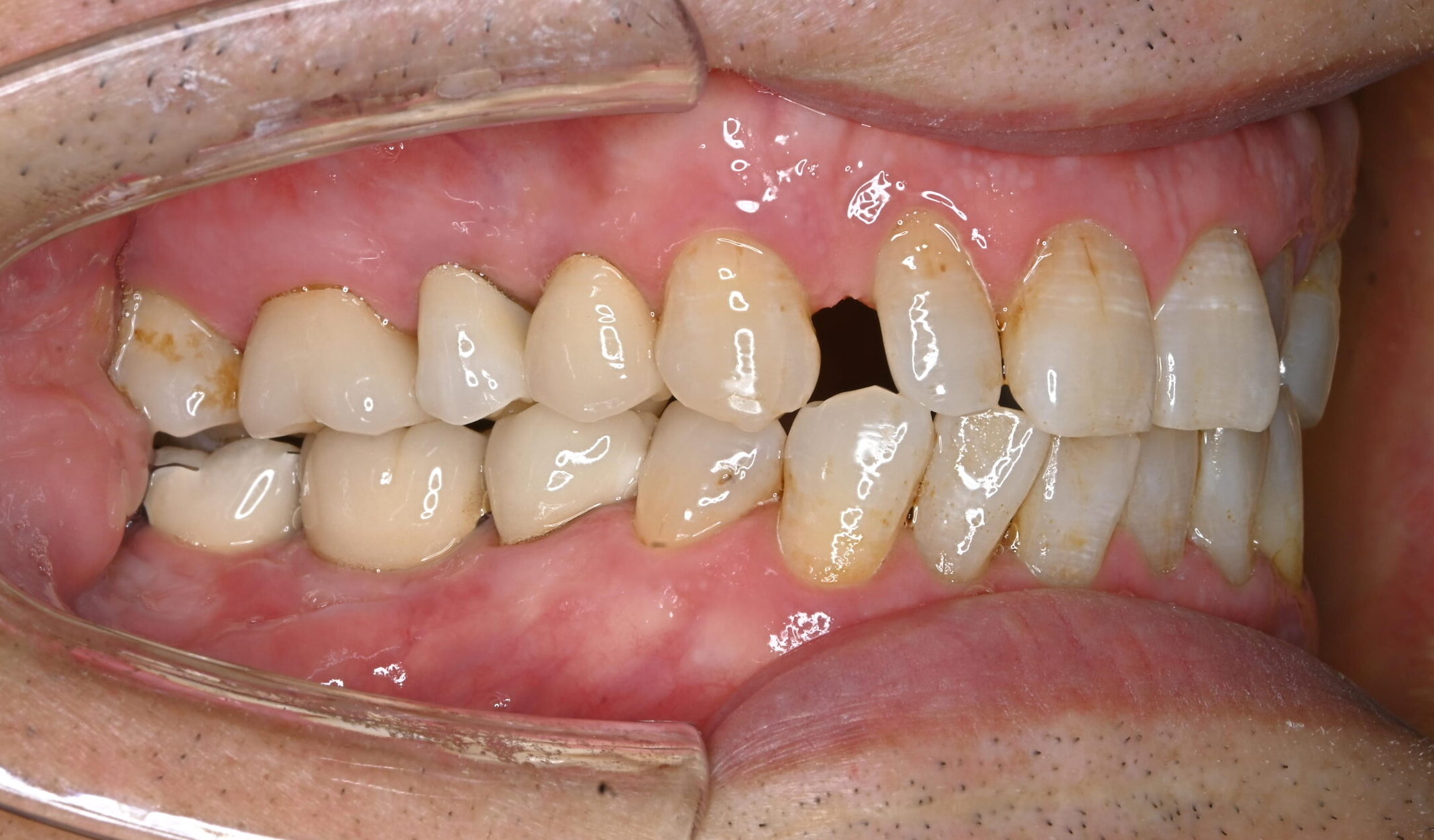
after

治療後

症例写真 after
症例写真 after
症例写真 after
症例写真 after
症例写真 after
症例写真 after
症例写真 レントゲン
治療開始年齢
50歳
診断名
根尖性歯周炎、2次虫歯
抜歯の有無
あり
使用した装置
サージカルステント
治療期間
約1年半
費用
約70万円(左右2本、サージカルステント料も含む)
症例説明
左右の下の奥歯が欠けたという主訴で来院されました。
診断の結果、下顎左右6番の根尖性歯周炎と2次虫歯が認められました。
どちらの歯も状態が悪く保存的処置が望めませんでした。患者さんとの相談の結果、抜歯しインプラントを埋入することになりました。
まず右下6番の抜歯、インプラント埋入手術、上部構造の装着を行い、次いで左下6番の治療を右下同様に進めました。
上部構造装着後10年以上経過しますが、定期的なメインテナンスと患者さんの日々のケアの甲斐あって、現在まで良好な経過をたどっています。

payment

医療費控除について

年間で支払った医療費の総額が10万円を超える場合、医療費控除を受けられます。

医療費控除の算定方法
医療費控除額 =
(1年間の医療費の総額)-(保険金などの受給額)-(10万円*)
*総所得金額等が200万円未満の場合、総所得金額等の5%の金額
還付金の算定方法
還付金額 =(医療費控除額)×(所得税率)
医療費控除に必要なもの
・確定申告書(○) ※1
・源泉徴収票
・医療費控除の明細書(○) ※1
・診断書 ※2
・医療費通知書
・本人確認書類
・印鑑
・申告者本人の銀行口座 ※3
・契約書の写し・信販会社の領収書 ※4
※1 提出する書類です。その他は提出必須ではありませんが、税務署から求められた際や、
書類作成時に必要になります。
※2 インビザラインなど必要な場合のみ
※3 還付金の入金口座です。
※4 クレジットカードやデンタルローンでお支払いした際に必要です。