北原歯科クリニック

岡山県岡山市北区大元の歯医者
JR瀬戸大橋線大元駅から徒歩約10分

オンライン初診診療予約
診療時間
診療時間
診療時間の表

:土曜日の診療時間は9:30~17:00※木曜・日曜・祝日は休診日

【受付時間】
午前9:3011:45 午後14:0017:45
(初診時は午前~11:30、午後~17:30)
土曜 9:3016:30
診療時間の表

症例詳細

case

症例詳細
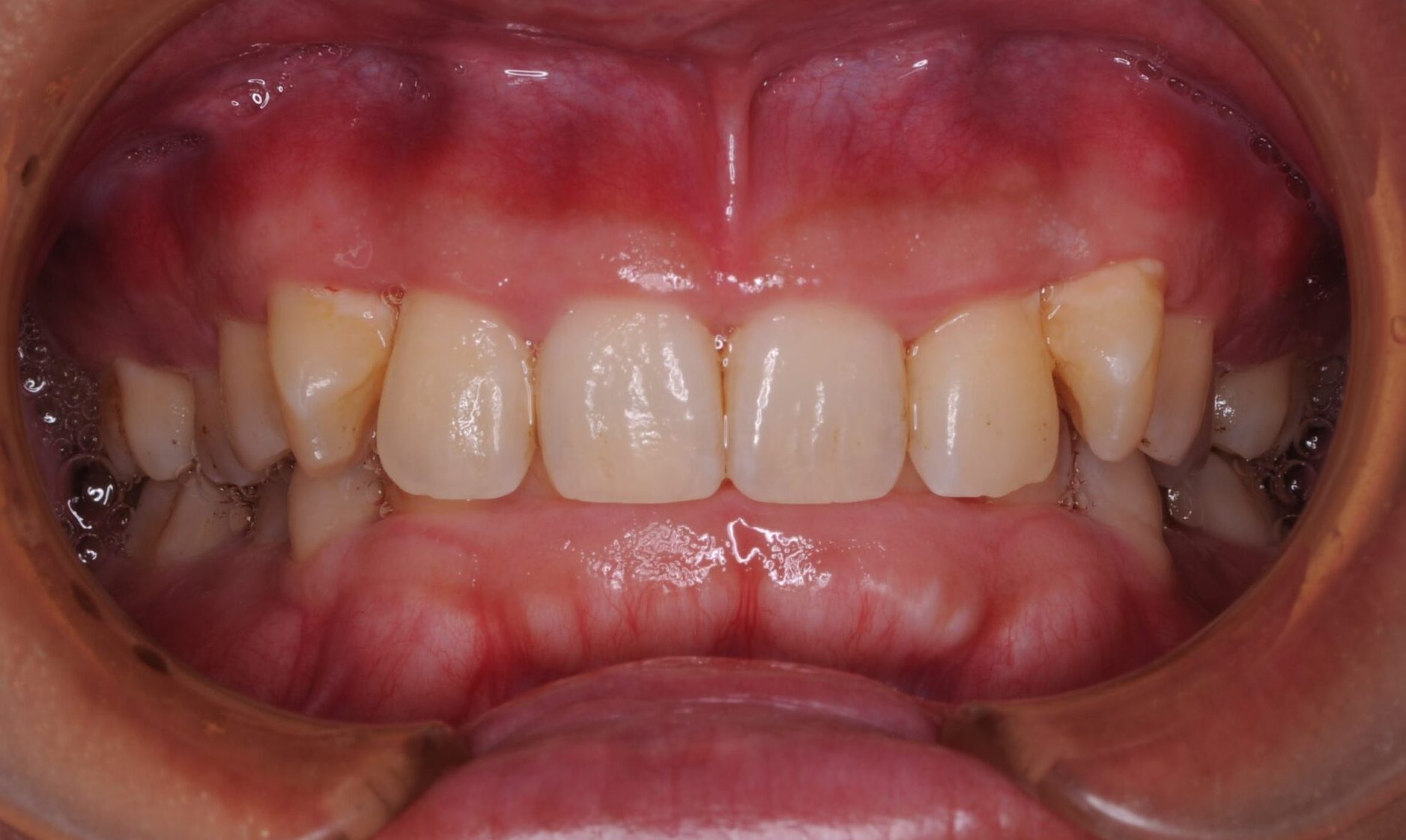
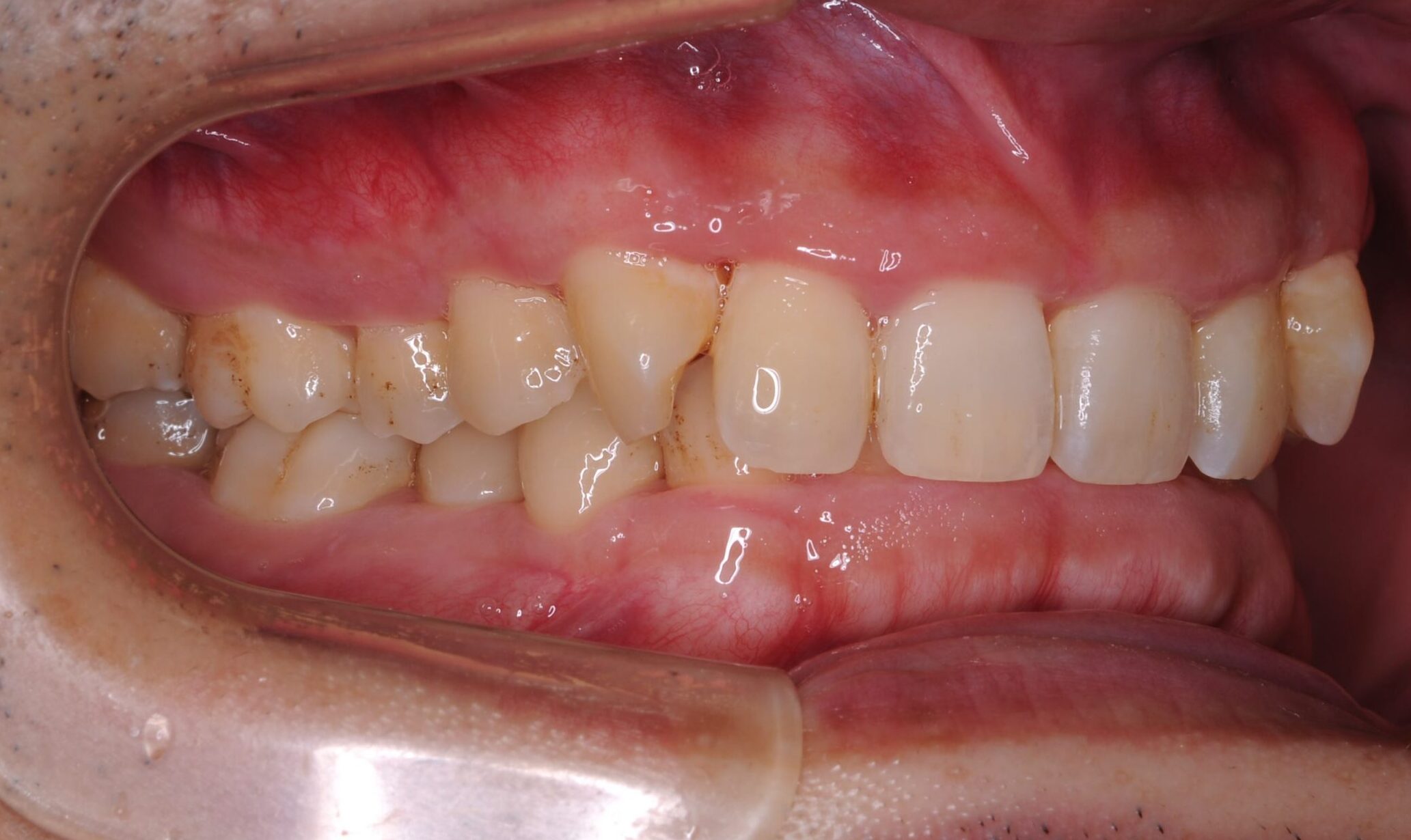
歯周病治療
30代・男性

歯茎から出血、歯石除去|中等度に進行した歯周病

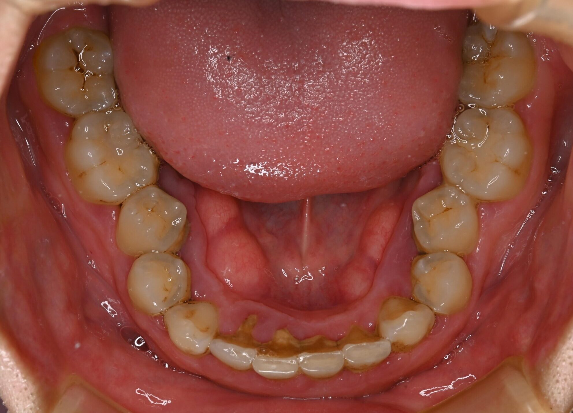
before

治療前

症例写真 before
症例写真 before
症例写真 before
症例写真 before
症例写真 before
症例写真 before

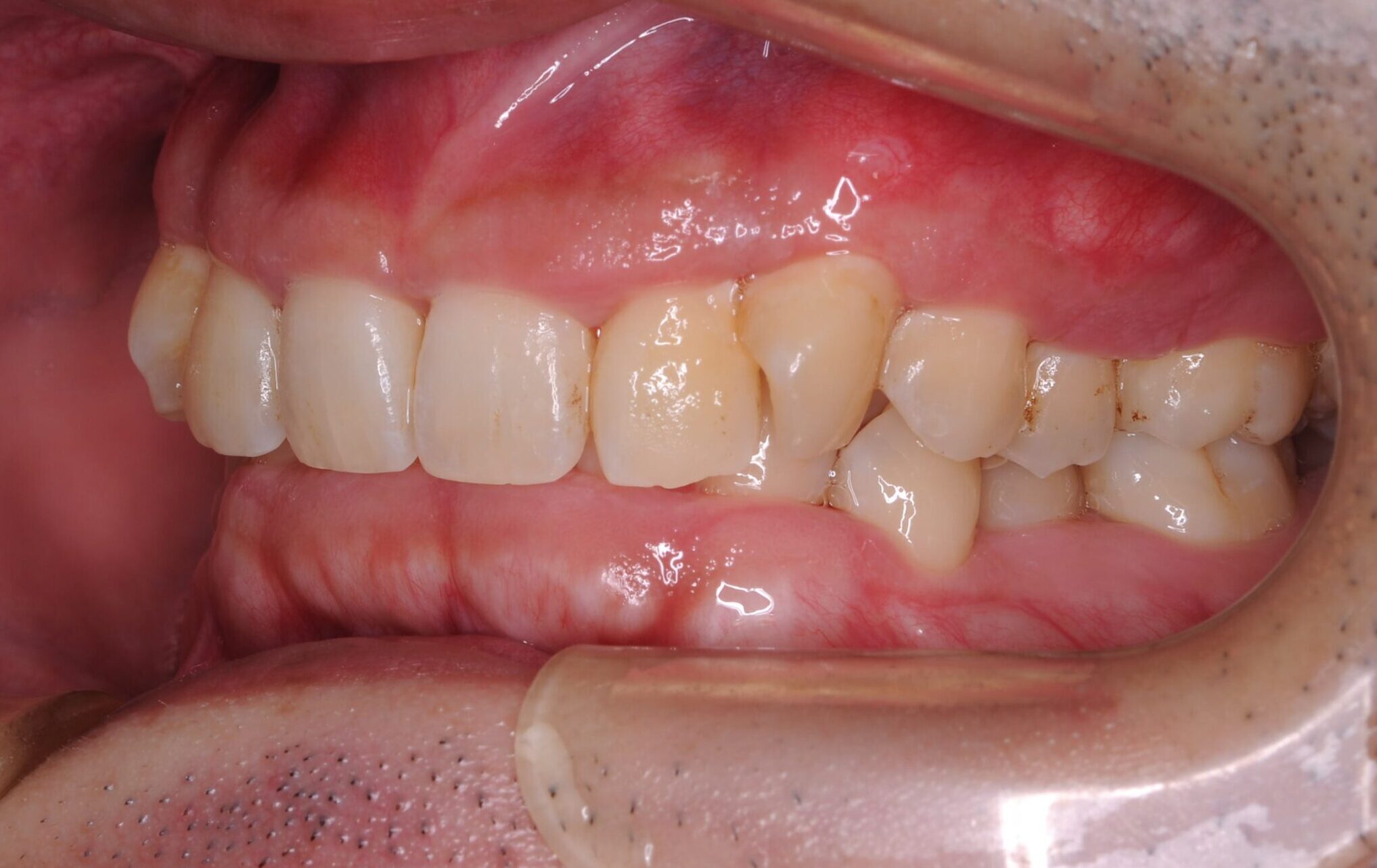
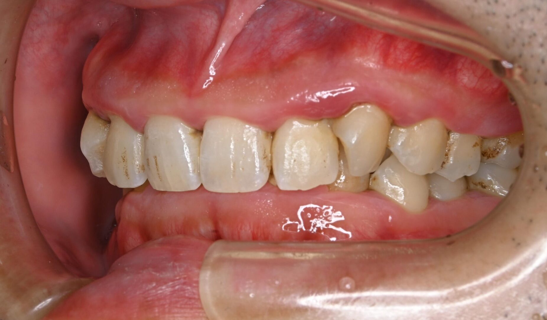
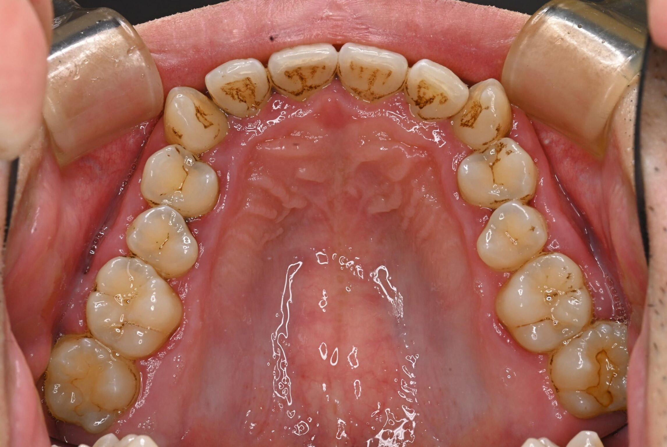
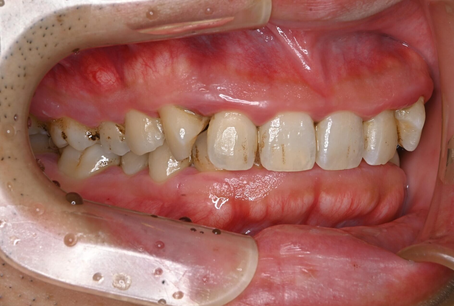
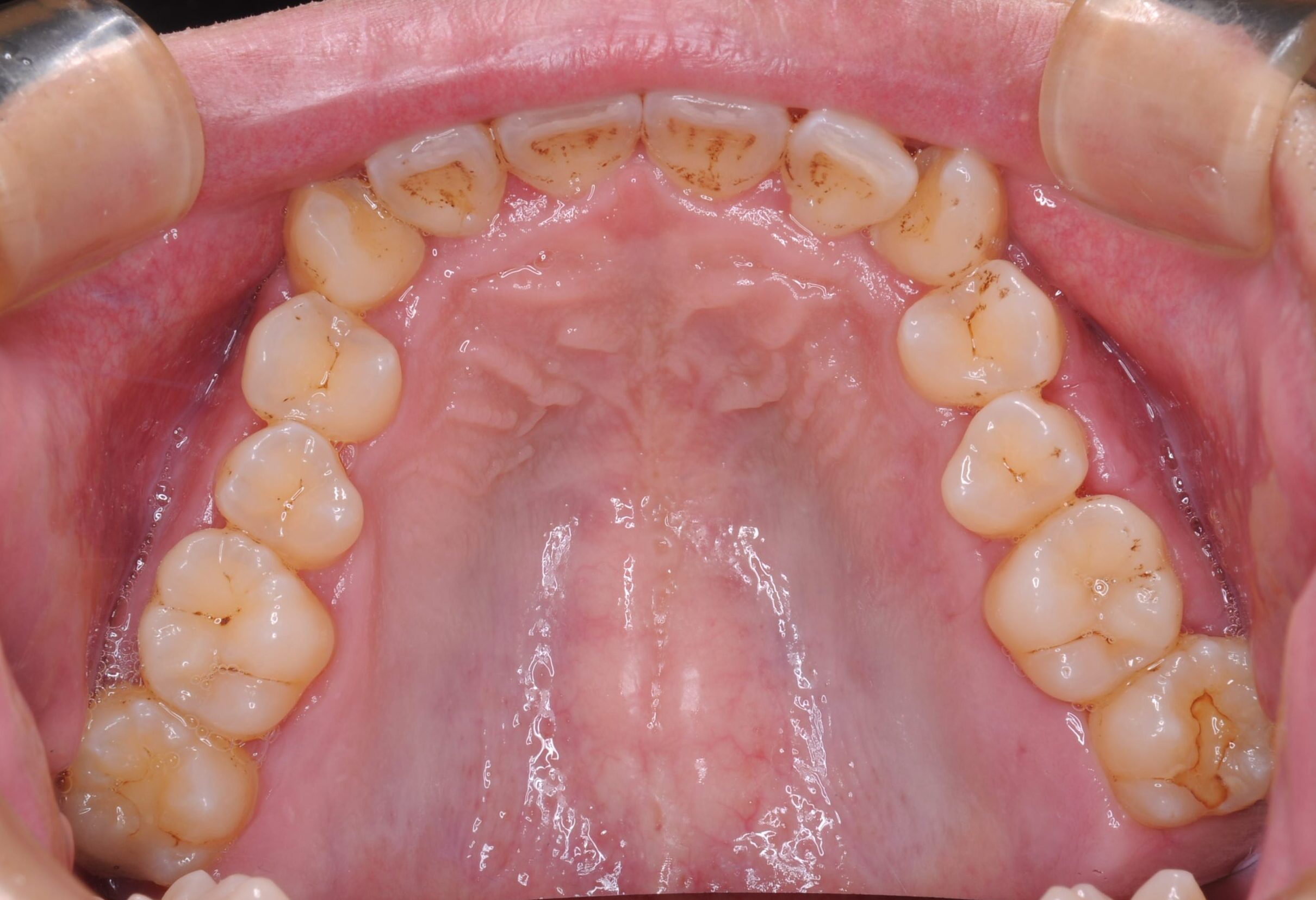
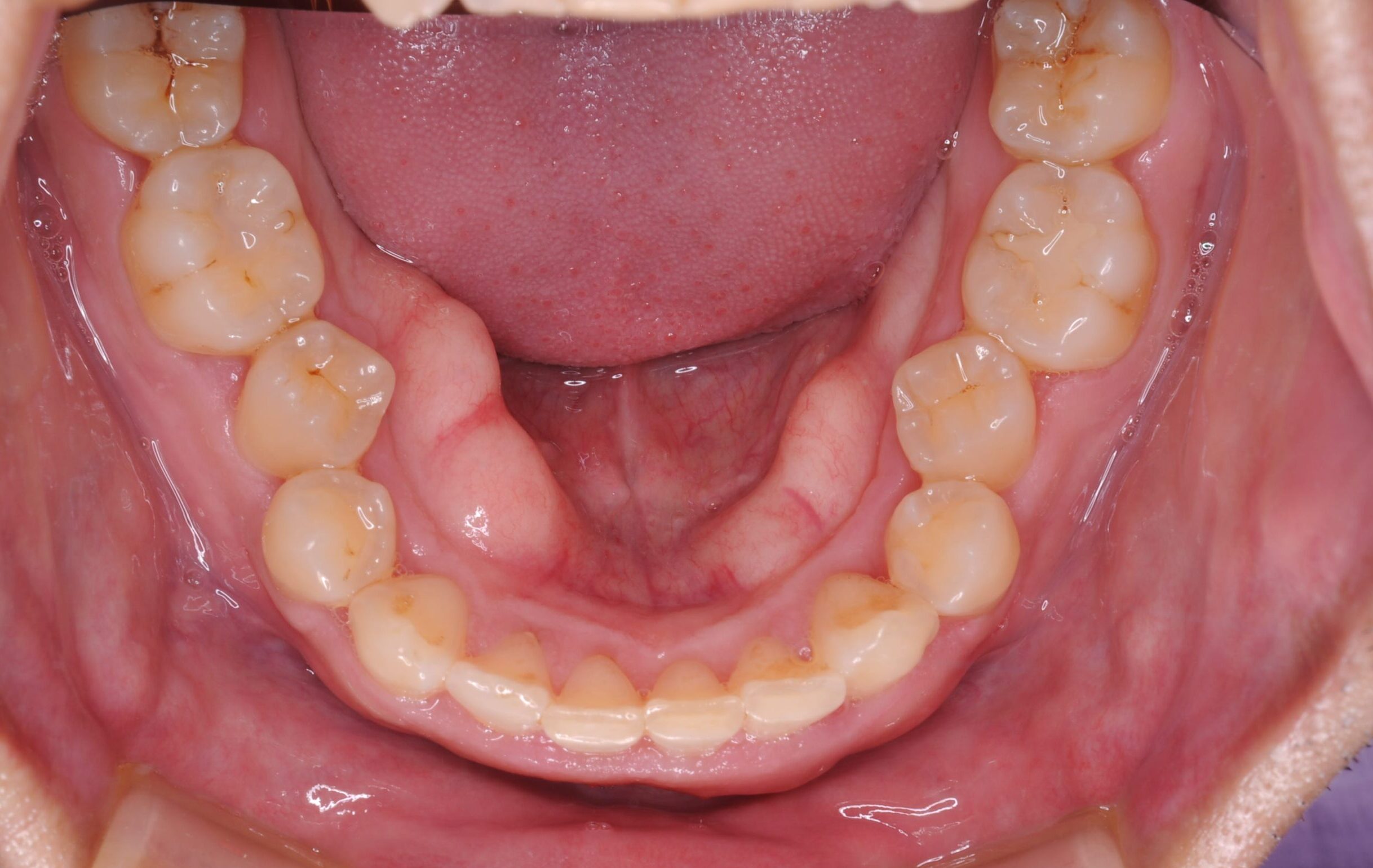
after

治療後

症例写真 after
症例写真 after
症例写真 after
症例写真 after
症例写真 after
症例写真 after
治療開始年齢
32歳
診断名
中等度歯周病
抜歯の有無
使用した装置
治療期間
費用
保険診療
症例説明
歯医者が久しぶりなのでクリーニングをしてほしい、ということで来院されました。
レントゲン撮影、歯周検査などを行なった結果、全体に多くの歯石付着が認められる進行した中等度の歯周病であることが判明しました。ご本人も歯茎から出血することは気になっており、担当歯科衛生士から歯周病について説明を行いました。
今回は歯石の付着が広範囲に渡っており量も多いことから、歯科衛生士による歯周基本治療に加え歯科医師による外科手術も行うことで、徹底的に治療していくことになりました。
歯周基本治療の中ですでに出血量の減少などを実感されており、ブラッシングなどのセルフケアにも積極的に協力していただけたことで外科手術後の経過も順調です。
今後は定期的な歯科検診と毎日のセルフケアで歯周病の進行を抑制し、現在の状態を維持していく予定です。

payment

医療費控除について

年間で支払った医療費の総額が10万円を超える場合、医療費控除を受けられます。

医療費控除の算定方法
医療費控除額 =
(1年間の医療費の総額)-(保険金などの受給額)-(10万円*)
*総所得金額等が200万円未満の場合、総所得金額等の5%の金額
還付金の算定方法
還付金額 =(医療費控除額)×(所得税率)
医療費控除に必要なもの
・確定申告書(○) ※1
・源泉徴収票
・医療費控除の明細書(○) ※1
・診断書 ※2
・医療費通知書
・本人確認書類
・印鑑
・申告者本人の銀行口座 ※3
・契約書の写し・信販会社の領収書 ※4
※1 提出する書類です。その他は提出必須ではありませんが、税務署から求められた際や、
書類作成時に必要になります。
※2 インビザラインなど必要な場合のみ
※3 還付金の入金口座です。
※4 クレジットカードやデンタルローンでお支払いした際に必要です。